Impacted teeth are the teeth which fail to erupt completely and thus get stuck in the jaw bone.Most of the times these are wisdom teeth or third molars.
Wisdom teeth thore third molars usually erupt at around 18 – 25 years of age. In more than 50% of cases these teeth don’t erupt completely and stay impacted in the jaws. These can cause various problems and hence need to be removed surgically (as they are not erupted completely they can’t be removed like normal erupted teeth)
Problems associated with the impacted third Molars
1). Pain
2). Swelling
3). Pericoronitis i.e.… inflammation of the soft tissues surrounding the third molar crown.
4). Food lodgment in case of decayed third molar.
5). Cheek biting in case of buccally placed molars.
6). Tingling and numbness in case the roots of third molar are Compressing the nerve.
7). Damage to the roots of second molars due to pressure Caused by the erupting third molar.
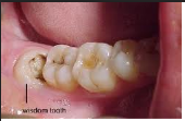
Clinical picture of the impacted tooth :
Types of Impacted Teeth

The procedure
The removal of impacted wisdom tooth has to be accomplished surgically.
A flap is reflected to completely expose the tooth. Some amount of bone cutting may be required to facilitate easy removal. After the tooth is extracted the flaps are put in place and sutured. The procedure is performed under local anesthesia and is associated with minimal pain and discomfort.
In some cases, where a wisdom tooth is causing pain because it is pressing into the surrounding gum, removal may not be necessary - an operation to cut back the gum may be all that is needed. However, this totally depends on the position of the tooth
WHAT IS A WISDOM TEETH??
The removal of impacted teeth is a serious surgical procedure. Post-operative care is very important. Unnecessary pain and the complications of infection and swelling can be minimized if the instructions are followed carefully.
- [1]The gauze pad placed over the surgical area should be kept in place for a half hour. After this time, the gauze pad should be removed and discarded.
- [2]Vigorous mouth rinsing or touching the wound area following surgery should be avoided. This may initiate bleeding by causing the blood clot that has formed to become dislodged.
- [3]Take the prescribed pain medications as soon as you begin to feel discomfort. This will usually coincide with the local anesthetic becoming diminished.
- [4]Restrict your activities the day of surgery and resume normal activity when you feel comfortable.
- [5]Place ice packs to the sides of your face where surgery was performed.
A certain amount of bleeding is to be expected following surgery. Slight bleeding, oozing, or redness in the saliva is not uncommon.
The swelling that is normally expected is usually proportional to the surgery involved. Swelling around the mouth, cheeks, eyes and sides of the face is not uncommon. This is the body's normal reaction to surgery and eventual repair. The swelling will not become apparent until the day following surgery and will not reach its maximum until 2-3 days post-operatively. However, the swelling may be minimized by the immediate use of ice packs.
Avoid alcoholic beverages. Pain or discomfort following surgery should subside more and more every day. If pain persists, it may require attention and you should call the office.
After local anesthetia or I.V. sedation, liquids should be initially taken. Do not use straws. Drink from a glass. The sucking motion can cause more bleeding by dislodging the blood clot. You may eat anything soft by chewing away form the surgical sites. High calorie, high protein intake is very important.
No rinsing of any kind should be performed until the day following surgery. You can brush your teeth the night of surgery but rinse gently.
- [1]If the corners of your mouth are stretched, they may dry out and crack. Your lips should be kept moist with an ointment such as vaseline.
- [2]Sore throats and pain when swallowing are not uncommon. The muscles get swollen. The normal act of swallowing can then become painful. This will subside in 2-3 days.
- [3]Stiffness (Trimus) of the jaw muscles may cause difficulty in opening your mouth for a few days following surgery. This is a normal post-operative event which will resolve in time.
- [4]Brushing your teeth is okay - just be gentle at the surgical sites.